ADOPA, Vol. 4, No. 1, enero-abril, 2026 • ISSN (en línea): 2960-7582 • Sitio web: https://adopa.pediatriadominicana.org/index.php/adopa

Tosferina y triple coinfección en República Dominicana: una alerta sobre las brechas en la cobertura vacunal

Pertussis and Triple Coinfection in the Dominican Republic: An Alert on Gaps in Vaccination Coverage

Resumen

Introducción: la tosferina, causada por Bordetella pertussis, continúa siendo un problema de salud pública, especialmente en lactantes no vacunados. En los últimos años se ha observado un aumento de casos en Estados Unidos y en países de América Latina y el Caribe, asociado a la disminución de la cobertura vacunal. Las coinfecciones virales en pacientes con tosferina son frecuentes y pueden dificultar el diagnóstico y manejo clínico.

Reporte de caso: se presenta el caso de una lactante femenina de 2 meses, sin antecedentes patológicos, con cuadro de dos semanas de rinorrea hialina seguida de tos productiva, paroxística y cianótica. La radiografía de tórax mostró infiltrados perihiliares bilaterales y aumento de las marcas broncovasculares. El panel molecular respiratorio por PCR identificó coinfección por Bordetella pertussis, Coronavirus OC43, Rinovirus/Enterovirus y Virus Parainfluenza tipo 4. La paciente recibió tratamiento con claritromicina y manejo sintomático, con evolución clínica favorable y egreso al quinto día de hospitalización.

Discusión: las coinfecciones virales ocurren en aproximadamente un tercio de los lactantes con tosferina. Aunque su impacto en la severidad clínica sigue siendo debatido, pueden contribuir a mayor compromiso pulmonar y representar un reto diagnóstico. La identificación temprana mediante técnicas moleculares permite orientar el tratamiento y optimizar el seguimiento clínico.

Conclusiones: este caso resalta la vulnerabilidad de los lactantes no vacunados, la relevancia de considerar coinfecciones en cuadros coqueluchoides y la importancia de fortalecer la cobertura de vacunación, incluyendo la inmunización materna durante el embarazo, para prevenir complicaciones graves y reducir la mortalidad.

Palabras clave

Abstract

Objective: To assess the prevalence of feeding difficulties and sensory processing disorders in children aged 3 to 6 years in Bogotá, and to preliminarily explore their potential impact on family dynamics and child well-being.

Methods: A cross-sectional study was conducted between January and March 2024, involving 128 children aged 3 to 6 years from a private institution in Bogotá. The Argentine Scale of Feeding Difficulties in Children (EADAN) and the Dunn Sensory Profile, both validated instruments, were administered. The study included a description of the informed consent process and ethical approval.

Results: A total of 46.9% of participants exhibited feeding difficulties; among these, one third were moderate to severe. Sensory processing alterations were observed in 72.6% of the children, with low sensory responsiveness and hypersensitivity being predominant.

Conclusions: Feeding difficulties and sensory processing disorders are common among preschoolers. Although the results are descriptive and limited to a small sample, they underscore the need for multicenter studies with inferential analyses to further explore the familial and behavioral impact of these disorders.

Keywords

Introducción

La tosferina o coqueluche es una enfermedad respiratoria causada por Bordetella pertussis, caracterizada por episodios paroxísticos de tos y, posteriormente, un estridor inspiratorio1. Los síntomas bien conocidos de la tosferina incluyen la tos paroxística repetitiva, el “gallo” inspiratorio y el vómito posterior a la tos. Sin embargo, estos signos clínicos no se limitan a los pacientes infectados por Bordetella pertussis. Otros patógenos, como el adenovirus (ADV), el virus de la influenza (IV) y Mycoplasma pneumoniae (MP), también pueden provocar mani festaciones clínicas similares, conocidas en conjunto como síndrome pertus sislike o síndrome similar a tosferina2.

La tosferina es principalmente una enfermedad mediada por toxinas, trans mitida a través de secreciones respiratorias de personas infectadas por contacto directo3. En la infancia, suele presentarse en tres fases: catarral, paroxística y convaleciente3.

En 2024, los casos reportados de tosferina aumentaron en todo Estados Unidos. Los datos preliminares muestran que se reportaron más de seis veces la cantidad de casos en 2024 en comparación con 2023. El número de casos reportados en 2024 fue mayor que el observado en 2019, antes de la pandemia. Desde un pico en noviembre de 2024, los casos reportados de tosferina han mostrado una tendencia a la baja. Sin embargo, los números preliminares de casos reportados en 2025 se mantienen elevados en comparación con los niveles previos inmediatos a la pandemia4.

Según el Boletín Epidemiológico del Ministerio de Salud Pública de la República Dominicana, desde el 20 hasta el 26 de julio de 2025, el país registra 21 casos de tosferina y dos muertes5. En América Latina y el Caribe, la cobertura de la tercera dosis de la vacuna contra la difteria, el tétanos y la tosferina (DTP3) en los niños menores de un año cayó del 93 % en 2012 al 75 %, situando a la región por debajo del promedio mundial6. En República Dominicana, se realizan esfuerzos para recuperar los niveles previos al 2020 y alcanzar la meta del 95 % de cobertura5.

Un estudio realizado en China señala que, durante las primeras cuatro décadas del Programa Nacional de Inmunización, la introducción y el uso sostenido de las vacunas contra la tosferina (DTP y posteriormente DTaP) tuvieron un impacto extraordinario en la salud infantil del país. Los investigadores estiman que gracias a este programa se lograron evitar más de cien millones de episodios de enfermedad y alrededor de 370 000 muertes en niños menores de cinco años. Además del beneficio sanitario, el estudio destaca que la vacunación generó un ahorro económico muy significativo, tanto en términos de costos directos para el sistema de salud como en costos sociales más amplios, mostrando razones beneficiocosto altamente favorables. En conclusión, los autores subrayan que mantener una alta cobertura vacunal y una vigilancia epidemiológica sensible es esencial para continuar protegiendo a la población y prevenir nuevos aumentos de casos7.

Reporte de caso

Se presenta el caso de una femenina de 2 meses de edad, lactante, sin antece dentes médicos conocidos, llevada a consulta por presentar dos semanas de rinorrea hialina. Su madre realizó lavados nasales, tras lo cual desarrolló tos productiva, cianótica, no convulsiva ni emetizante, de cuatro días de evolución. Por la persistencia de los episodios paroxísticos de tos con cianosis, acudió a un centro de salud.

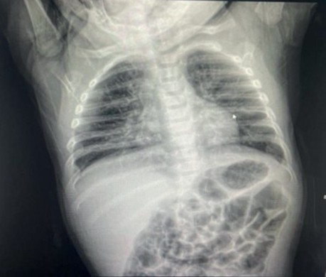
Se realizó radiografía de tórax (véase Figura 1) en proyección posteroante rior. No se observaron alteraciones de partes blandas. Las estructuras óseas mostraron aplanamiento de arcos costales, atribuido a la edad y posición de la paciente. Se evidenciaron infiltrados perihiliares bilaterales y aumento de las marcas broncovasculares, así como mayor radiolucidez pericárdica (“signo del corazón claro”).

Figura 1. Radiografía anteroposterior de tórax
Fuente: expediente clínico.

Se obtuvo una muestra de fluidos respiratorios para el análisis por determi nación molecular de patógenos de importancia respiratoria (véase Tabla 1). En el mismo se identificaron: Coronavirus OC43, Rhinovirus/Enterovirus, Parainfluenza virus tipo 4 y Bordetella pertussis.

Tabla 1. Reporte de identificación de patógenos de importancia respiratoria por amplificación de ácidos nucleicos (PCR)

Virus Resultado
Adenovirusno detectado
Coronavirus 229 Eno detectado
Coronavirus HKU1no detectado
Coronavirus NL63no detectado
Coronavirus OC43detectado
SARS-CoV-2no detectado
Metapneumovirus Humanono detectado
Rinovirus/Enterovirus Humanodetectado
Influenza Ano detectado
Influenza Bno detectado
Virus Parainfluenza 1no detectado
Virus Parainfluenza 2no detectado
Virus Parainfluenza 3no detectado
Virus Parainfluenza 4detectado
Virus Sincitial Respiratoriono detectado
Bacterias
Bordetella parapertussisno detectado
Bordetella pertussis ptxPdetectado
Chlamydia pneumoniaeno detectado
Mycoplasma pneumoniaeno detectado
Fuente: tomado de expediente clínico.

La paciente fue tratada con un macrólido (claritromicina), junto con manejo de secreciones y lavado nasal. Al quinto día de hospitalización, tras mejoría del cuadro clínico, fue egresada con seguimiento ambulatorio.

Discusión

Diversos estudios han demostrado que Bordetella pertussis constituye una causa importante de hospitalización por infecciones respiratorias bajas (LRTI) en lactantes y niños pequeños, donde se ha descrito que los pacientes con coin fección viral presentan neumonía con mayor frecuencia, aunque sin diferencias significativas en la severidad clínica respecto a aquellos con infección aislada por B. pertussis8.

La evidencia disponible indica que las coinfecciones virales son frecuentes, afectando aproximadamente a un tercio de los lactantes con tosferina. A pesar de que la coexistencia de B. pertussis con otros patógenos, especialmente virus respiratorios, está bien documentada, su relevancia clínica continúa siendo motivo de debate, ya que muchas coinfecciones pueden ocurrir de manera fortuita y no está claro si realmente incrementan la gravedad del cuadro9.

Otras teorías destacan que la presencia de múltiples agentes infecciosos puede complicar el cuadro clínico y dificultar el diagnóstico y manejo adecuado, ya que las coinfecciones pueden intensificar la respuesta inflamatoria y aumentar la gravedad de la enfermedad, lo que subraya la importancia de una monitori zación estrecha y un enfoque integral10.

Este caso destaca la necesidad de considerar coinfecciones en lactantes con síntomas respiratorios severos. La detección temprana y precisa de todos los agentes involucrados es esencial para guiar el tratamiento y mejorar los desenlaces clínicos.

Finalmente, este caso refuerza la importancia de la vacunación oportuna y de las estrategias preventivas, como la inmunización materna durante el embarazo para proteger a los lactantes vulnerables frente a la tosferina y otras infecciones respiratorias. Ampliar el conocimiento sobre este fenómeno permitiría optimizar la evaluación y el manejo de lactantes con cuadros coqueluchoides, espe cialmente en entornos donde la realización de paneles respiratorios completos no es rutinaria.

Conclusiones

Este caso de tosferina con coinfección viral en una lactante de 2 meses destaca la vulnerabilidad de los niños no vacunados y la complejidad de los cuadros respiratorios en esta etapa. El diagnóstico oportuno y el tratamiento adecuado permitieron una evolución favorable. Estos hallazgos refuerzan la importancia de la vacunación materna y la mejora de la cobertura de DTP en la República Dominicana para prevenir casos graves y reducir la mortalidad asociada.

Referencias

  1. Cherry JD. The history of pertussis (whooping cough); 1906–2015: facts, myths, and misconceptions. Curr Epidemiol Rep. 2015;2(2):120–30. https://doi.org/10.1007/s4047101500419
  2. Gu W, Wang K, Zhang X, Hao C, Lu Y, Wu M, Chen S, He Y, Xu J, Shao X, Wang Y. Pathogen analysis of pertussislike syndrome in children. BMC Infect Dis. 2020;20(1):353. https://doi.org/10.1186/s12879020050748
  3. Kilgore PE, Salim AM, Zervos MJ, Schmitt HJ. Pertussis: microbiology, disease, treatment, and prevention. Clin Microbiol Rev. 2016;29(3):449–86. Available from: https://pmc.ncbi.nlm.nih.gov/articles/PMC4861987/
  4. Centers for Disease Control and Prevention. Vigilancia y tendencias de la tosferina. CDC; 2025 [citado 29 de noviembre de 2025]. Disponible en: https://www.cdc.gov/pertussis/php/surveillance/index.html
  5. Dirección de Epidemiología, Ministerio de Salud Pública y Asistencia Social, República Dominicana. Boletín Epidemiológico Semanal 302025 [Internet]. Santo Domingo: Ministerio de Salud Pública y Asistencia Social; 2025 Jul [citado 17 de noviembre de 2025]. Disponible en: https://epidemiologia.gob.do/media/fafgxuf5/boletinsemanal302025.pdf
  6. UNICEF República Dominicana. La vacunación infantil en América Latina y el Caribe registra el mayor descenso en tres décadas. UNICEF; 2023 [citado 29 de noviembre de 2025]. Disponible en: https://www.unicef.org/dominicanrepublic/comunicadosprensa/lavacunacioninfantilenamericalatinayelcariberegistraelmayordescenso
  7. Wu J, Zheng H, He Y, Li L, Yu X, Yin F, Fang Y. Health and economic evaluation of vaccination against pertussis in China: a 40year analysis. Value Health. 2023;26(5):666–75. Disponible en: https://doi.org/10.1016/j.jval.2022.10.011
  8. Jiang W, Wu M, Chen S, Li A, Wang K, Wang Y, Chen Z, Hao C, Shao X, Xu J. Virus coinfection is a predictor of radiologically confirmed pneumonia in children with Bordetella pertussis infection. Infect Dis Ther. 2021;10(1):335–46. Disponible en: https://doi.org/10.1007/s40121020003765
  9. Frassanito A, Nenna R, Nicolai A, Pierangeli A, Tozzi AE, Stefanelli P, Carsetti R, Concato C, Schiavoni I, Midulla F; Pertussis Study Group. Infants hospitalized for Bordetella pertussis infection commonly have respiratory viral coinfections. BMC Infect Dis. 2017;17(1):492. Disponible en: https://doi.org/10.1186/s1287901725676
  10. Higgs R, Higgins SC, Ross PJ, Mills KH. Immunity to the respiratory pathogen Bordetella pertussis. Mucosal Immunol. 2012;5(5):485–500. Disponible en: https://doi.org/10.1038/mi.2012.54