ADOPA, Vol. 3, No. 2, mayo-agosto, 2025 • ISSN (en línea): 2960-7582 • Sitio web: https://adopa.pediatriadominicana.org/index.php/adopa

Sialoblastoma submandibular en un recién nacido: reporte de caso y enfoque quirúrgico

Submandibular Sialoblastoma in a newborn: A case report and surgical approach

Resumen

Introducción: el sialoblastoma es un tumor poco frecuente de las glándulas salivales, raramente diagnosticado en la infancia, que se presenta generalmente en los primeros meses de vida.

Objetivo: este reporte describe un caso de sialoblastoma en un recién nacido de 18 días de edad, que presentó una masa en la región facial derecha, con un crecimiento progresivo.

Materiales y método: tras la realización de una sonografia y tomografía cervical por masa submaxilar indeterminada se llega a la decisión de realizar biopsia de masa y consecuentemente sialoadenectomía.

Conclusión: la cirugía fue exitosa, y el informe patológico confirmó la presencia de un tumor compuesto mayormente por nidos de células basaloides. Aunque los sialoblastomas pueden presentar recurrencias locales o metástasis, el pronóstico para los casos diagnosticados y tratados tempranamente es por lo general favorable. Este caso subraya la importancia de un diagnóstico temprano y una intervención quirúrgica adecuada para mejorar los resultados en pacientes pediátricos.

Palabras clave

Abstract

Introduction: Sialoblastoma is a rare tumor of the salivary glands, rarely diagnosed in infancy, usually presented in the first months of life.

Objective: This report describes a case of sialoblastoma in an 18-day-old newborn, who presented with a progressively growing mass in the right facial region.

Materials and methods: After a sonogram and cervical tomography were performed for an indeterminate submandibular mass, the decision was made to perform a mass biopsy and subsequent sialoadenectomy.

Conclusion: The surgery was successful, and the pathology report confirmed the presence of a tumor composed mostly of basaloid cell nests. Although sialoblastomas may present local recurrences or metastases, the prognosis for cases diagnosed and treated early is generally favorable. This case underscores the importance of early diagnosis and appropriate surgical intervention to improve outcomes in pediatric patients.

Keywords

Introducción

El sialoblastoma es un tumor poco frecuente de las glándulas salivales que presenta una conducta biológica variable, caracterizándose por su capacidad para invadir localmente, recurrir y, en algunos casos, generar metástasis. Esta neoplasia fue descrita inicialmente en 1966 por Vawter y Tefft, quienes la denominaron “embrioma” debido a su aparición en la vida fetal1. Posteriormente, en 1988, Taylor sugirió el término “sialoblastoma” para hacer referencia a una neoplasia inmadura que histológicamente recuerda al esbozo embrionario de la glándula salival2. El diagnóstico y tratamiento de este tipo de tumor siguen siendo controvertidos, ya que el sialoblastoma ha sido reclasificado como un tumor epitelial maligno por la Organización Mundial de la Salud (OMS) debido a su comportamiento agresivo3.

La incidencia de los tumores de glándulas salivales en niños y adolescentes es relativamente baja, representando entre el 3.7 % y el 5.5 % de los tumores de cabeza y cuello en este grupo etario4. El sialoblastoma se presenta con mayor frecuencia en varones en una proporción de 2:1, siendo las glándulas salivales mayores las más afectadas, particularmente la parótida y, en menor medida, la submandibular3. La edad de presentación del sialoblastoma varía desde el período fetal hasta los 15 años, y aunque raramente se observan casos en adultos, existen reportes de recurrencias y metástasis a distancia, principalmente en pulmones y huesos5, 6.

El tratamiento del sialoblastoma es quirúrgico, con una resección temprana del tumor y márgenes negativos como la principal opción terapéutica. Sin embargo, debido a su comportamiento impredecible, los pacientes requieren un seguimiento prolongado para detectar posibles recurrencias4. Aunque la patogenia exacta del sialoblastoma no está completamente aclarada, se ha sugerido que este tumor se origina a partir de células blastemales retenidas en la glándula salival5. A pesar de la variabilidad en el comportamiento, la mayoría de los pacientes pueden estar libres de tumor durante al menos un año después de la resección6.

Objetivo

Describir el caso clínico de un paciente con sialoblastoma en la glándula submaxilar derecha, detallando el diagnóstico y el abordaje quirúrgico.

Presentación de caso

Se trata de un recién nacido de sexo masculino, de 18 días de edad, que desde el nacimiento presenta una masa en la región facial derecha, la cual ha ido aumentando de tamaño de forma progresiva. La lesión es blanda, no móvil y con bordes bien definidos (Figura 1 A y B). No se identifican antecedentes patológicos personales ni familiares. Se llevó a cabo un ultrasonido cervical de partes blandas (Figura 2 A y B), que demostró una adenopatía submaxilar derecha. El paciente fue sometido a una sialoadenectomía submandibular derecha. El procedimiento se lleva a cabo bajo anestesia general, luego se realiza una incisión en la piel del cuello, justo por debajo de la mandíbula, donde se localiza la glándula submandibular (Figura 3). Esta incisión se extiende de manera que permita una visualización adecuada de la glándula y sus estructuras adyacentes. Se procede a diseccionar cuidadosamente los planos tisulares para exponer la glándula, con especial atención a las estructuras nerviosas y vasculares cercanas, como el nervio lingual y los vasos sanguíneos. Una vez identificada la glándula submandibular, se realiza la extirpación completa de la glándula (Figura 4). Después de la extirpación, se inspecciona el área para asegurar que no haya sangrado activo, y luego se sutura la incisión en capas para asegurar una cicatrización adecuada (Figura 5).


Figura 1. Aumento de volumen de región submaxilar derecha, predominantemente preauricular y malar derecha
Fuente: expediente clínico.



Figura 2. Ultrasonido de partes blandas a nivel de submaxilar derecho
Fuente: expediente clínico.

La Figura 2 muestra imagen heterogénea con centro vascularizado que mide 2.7 x 1.7 cm. Impresión diagnóstica de adenopatía submaxilar derecha.



Figura 3. Incisión y localización de glándula submandibular derecha
Fuente: expediente clínico.

Luego de la incisión en la piel del cuello, justo por debajo de la mandíbula, se localiza la glándula submandibular derecha.



Figura 4. Macroscópicamente el tumor extirpado
Fuente: expediente clínico.

Se observan tres fragmentos irregulares, tienen superficie blanquecina, multinodular.



Figura 5. Sutura de la incisión en capas para asegurar una cicatrización adecuada.
Fuente: expediente clínico.

Reporte de patología



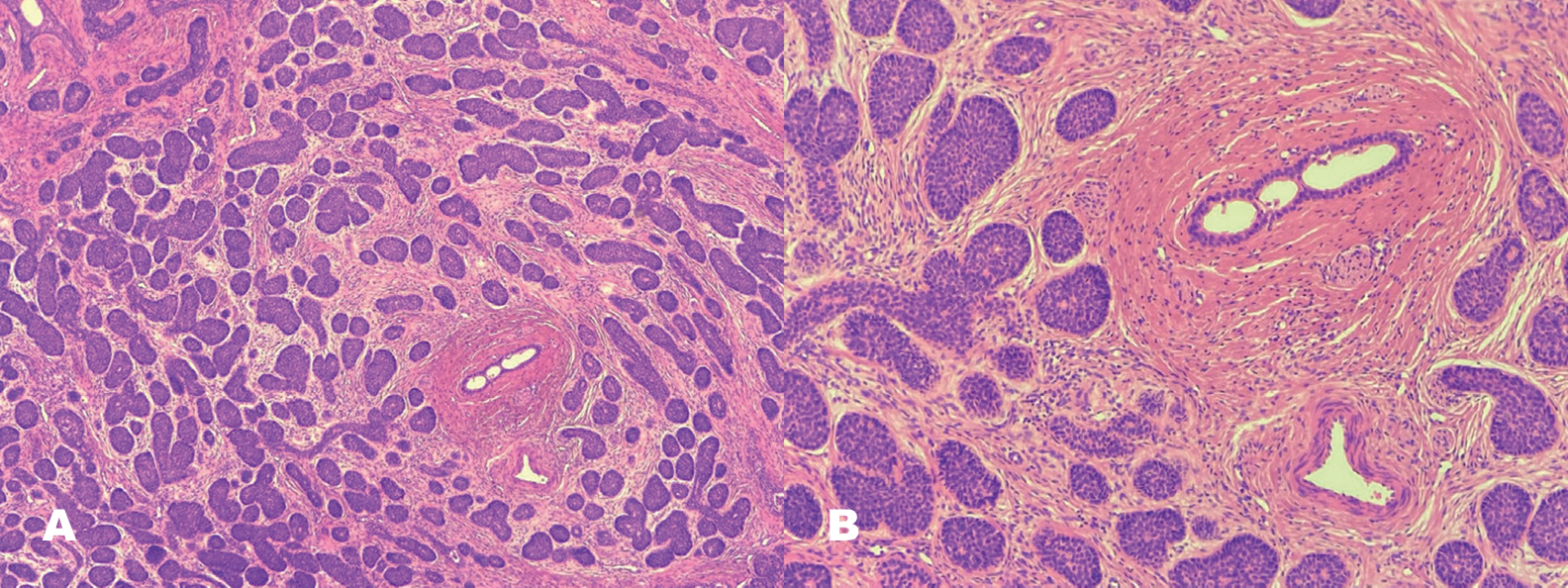
Figura 6. Microfotografía de tejido glandular
Fuente: expediente clínico.

Se observa glándula submaxilar con tumor compuesto en su gran mayoría por nidos de células basaloides. Estas rodean en áreas a ductos de la glándula que están conservados. Las células basaloides con escasas mitosis y cromatina granular. El estroma con abundante fibrosis (tinción con hematoxilina y eosina).



Figura 7. Inmunohistoquímica para actina de músculo liso
Fuente: expediente clínico.

La inmunohistoquímica para actina de músculo liso muestra positividad en las células mioepiteliales periféricas de los nidos tumorales, evidenciando una distribución periductal. Esta expresión sugiere diferenciación mioepitelial, hallazgo característico en neoplasias con componente basaloide como el sialoblastoma. El patrón de tinción es citoplasmático y focal, reforzando la histogénesis salival del tumor.



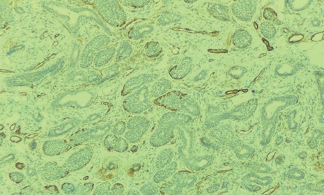
Figura 8. Tinción inmunohistoquímica para CK7
Fuente: expediente clínico.

La tinción inmunohistoquímica para CK7 revela una intensa positividad citoplasmática en las células ductales del tumor, con preservación de la arquitectura ductal en múltiples focos. Esta expresión confirma la diferenciación ductal del componente epitelial del sialoblastoma, apoyando su origen a partir de estructuras salivales embrionarias.



Figura 9. Tres fragmentos irregulares, tumor
Fuente: expediente clínico.

El mayor de 4.5 x 3 x 1.4 cm. tienen superficie blanquecina, multinodular. Al corte es homogéneo blanquecino. El menor mide 1.8 x 0.7 cm con superficie amarillenta. Se incluyen cortes representativos en cuatro bloques x4.

Discusión

Los tumores de las glándulas salivales primarios en la infancia son poco frecuentes, con una incidencia aún menor en niños menores de cinco años6. Aunque los tumores en las glándulas salivales representan menos del 0,25 % en la primera década de vida, los más comunes suelen ser de origen no epitelial, como el hemangioma6. Sin embargo, entre las neoplasias epiteliales, el sialoblastoma destaca por ser un tumor raro, observado principalmente en el período neonatal o infantil3. La mayoría de los casos son diagnosticados en los primeros meses de vida, y su prevalencia es mayor en varones3. Este tumor, que se origina comúnmente en las glándulas parótidas y submandibulares, se presenta como una masa subcutánea indolora y de crecimiento lento, con tamaños que van de 1,5 a 15 cm 3. Histológicamente, el sialoblastoma se caracteriza por la presencia de células basaloides, dispuestas en agrupamientos, y la falta de diferenciación acinar, lo que refleja su origen embrionario en las glándulas salivales7.

El diagnóstico diferencial de los sialoblastomas incluye otros tumores de las glándulas salivales, como el carcinoma adenoide quístico y el adenoma de células basales, cuyos patrones histológicos son distintos8. Los estudios inmunohistoquímicos han identificado la positividad para citoqueratina en las células ductales y para marcadores como vimentina y actina de músculo liso, que corroboran la naturaleza epitelial de estos tumores8. A pesar de su rareza, se ha señalado que los sialoblastomas pueden estar asociados a marcadores hepáticos, como la alfafetoproteína, sugiriendo una posible relación con tumores hepáticos, aunque se requiere más investigación para confirmar esta asociación8.

En cuanto al pronóstico, los sialoblastomas presentan un comportamiento impredecible, con una tendencia a recurrir localmente o metastatizar a ganglios linfáticos y pulmones3. A pesar de su carácter potencialmente maligno, la mayoría de los casos tienen un pronóstico favorable cuando se detectan temprano y se tratan de manera adecuada3. La escisión quirúrgica es el tratamiento estándar, aunque la radioterapia y la quimioterapia se emplean en casos con resección incompleta o metástasis8. Los tratamientos neoadyuvantes, como la quimioterapia, también se consideran en tumores localmente invasivos, con el objetivo de evitar cirugías mutiladoras8. Dado que la enfermedad se presenta principalmente en niños, se deben considerar con cuidado los riesgos de los efectos secundarios de la radioterapia, especialmente en términos de crecimiento óseo y desarrollo facial8.

Finalmente, la patogenia del sialoblastoma no está entendida por completo, pero se cree que surge de células de blastema retenidas en la glándula salival9. Los hallazgos cromosómicos han revelado aberraciones específicas, como la deleción del brazo largo del cromosoma 3, lo que diferencia al sialoblastoma de otras neoplasias salivales9. A pesar de la rareza de estos tumores, es crucial continuar investigando para mejorar el entendimiento de su biología, diagnóstico y tratamiento, asegurando así un seguimiento adecuado de los pacientes, especialmente debido a las posibles recurrencias hasta años después de la intervención9, 10.

Conclusión

El sialoblastoma es un tumor raro de las glándulas salivales, especialmente en pacientes pediátricos, como se evidenció en este caso reportado de un recién nacido con una lesión en la glándula submandibular. Este tumor, aunque por lo general se presenta en los primeros meses de vida y suele ser de naturaleza benigna, puede tener un comportamiento biológico impredecible, con riesgos de recurrencia local o metástasis a distancia. El diagnóstico temprano y la resección quirúrgica completa son fundamentales para lograr un pronóstico favorable. Sin embargo, debido a la posibilidad de recurrencias, se recomienda un seguimiento a largo plazo, dado que algunos casos pueden presentar complicaciones años después de la cirugía. Este informe subraya la importancia de un enfoque diagnóstico adecuado y la necesidad de una intervención quirúrgica temprana para el manejo efectivo del sialoblastoma en los niños, con especial atención al pronóstico y a los posibles efectos de tratamientos adicionales en caso de recidiva.

Financiamiento

El financiamiento corrió por parte de los autores.

Conflicto de interés

Los autores declaran no tener conflicto de interés.

Referencias

  1. Vawter GF, Tefft M. Congenital tumors of the parotid gland. Arch Pathol. 1966;82:242-4.
  2. Taylor GP. Congenital epithelial tumor of the parotid: sialoblastoma. Pediatr Pathol. 1988;8:447-52.
  3. Ellis GL. What’s New in the AFIP Fascicle on Salivary Gland Tumors: A Few Highlights from the 4th Series Atlas. Head and Neck Pathology [Internet]. 2009;3(3):225–30. Available from: https://link.springer.com/article/10.1007/s12105-009-0128-z
  4. Fonseca I, Martins AG, Soares J. Epithelial salivary gland tumors of children and adolescents in southern Portugal: a clinicopathologic study of twenty-four cases. Oral Surg Oral Med Oral Pathol. 1991;72:696-701.
  5. Kwak J, Kim E. Thyroid Imaging Reporting and Data System Ultrasound Lexicon. Ultrasound Med Biol [Internet]. 2019;25(5):75-82. Available from: https://socpr.org.pe/wp-content/uploads/2024/06/rev-vol21-caso-1.pdf
  6. Peerayut S, Somran J, Oilmungmool N, Worasakwuttipong S, Larbcharoensub N. Sialoblastoma of the cheek: A case report and review of the literature. Molecular and Clinical Oncology [Internet]. 2016;4(6):925–8. Available from: https://www.spandidos-publications.com/10.3892/mco.2016.840
  7. Ersoz S, Turgutalp H, Cobanoglu U, Bektas D, Yaris N. Sialoblastoma in the parotid gland: A case report. Pediatrics International [Internet]. 2010;52(4):670–2. Available from: https://onlinelibrary.wiley.com/doi/10.1111/j.1442-200X.2010.03108.x
  8. Dardick I, Daley TD, McComb RJ. Sialoblastoma in adults: distinction from adenoid cystic carcinoma. Oral Surgery Oral Medicine Oral Pathology Oral Radiology and Endodontology [Internet]. 2009;109(1):109–16. Available from: https://www.oooojournal.net/article/S1079-2104(09)00533-2/abstract
  9. Prigent M, Teissier N, Peuchmaur M, El Maleh-Berges M, Philippe-Chomette P, Cardin P, et al. Sialoblastoma of salivary glands in children: Chemotherapy should be discussed as an alternative to mutilating surgery. International Journal of Pediatric Otorhinolaryngology [Internet]. 2010;74(8):942–5. Available from: https://www.sciencedirect.com/science/article/abs/pii/S0165587610000480
  10. Karaman E, Duman C, Cansız H, Yildiz I, Dervişoglu S, Ozdemir G. Sialoblastoma in cheek region: Report of a case. International Journal of Pediatric Otorhinolaryngology Extra [Internet]. 2010;5(2):47–9. Available from: https://www.sciencedirect.com/science/article/abs/pii/S1871404809000100